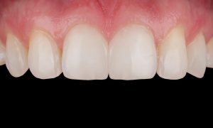
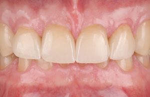
La Royal Smile Clinic Oradea, oferim soluții stomatologice complete pentru a vă asigura un zâmbet sănătos și estetic. În portofoliul nostru de cazuri stomatologice veți găsi o gamă largă de tratamente, de la obturații și fatete dentare, până la implanturi dentare și reabilitări dentare complete de înaltă calitate.
Suntem dedicați furnizării celor mai avansate tehnici și tehnologii stomatologice, iar fiecare caz este tratat cu profesionalism și atenție la detalii. Dacă sunteți în căutarea unor implanturi dentare Oradea, fatete dentare sau soluții personalizate pentru îmbunătățirea aspectului și funcționalității zâmbetului dumneavoastră, Royal Smile Clinic este alegerea perfectă. Echipa noastră de specialiști în chirurgie dentară, protetică dentară și estetică dentară vă va ghida în fiecare pas al tratamentului, oferindu-vă soluții rapide, eficiente și durabile.
Fie că aveți nevoie de un implant dentar pentru un dinte pierdut, de fatete dentare pentru un zâmbet mai alb și uniform sau de o reabilitare dentară completă pentru refacerea funcționalității orale, la Royal Smile Clinic Oradea vă asigurăm tratamente de top, personalizate pe nevoile fiecărui pacient. Contactați-ne pentru o consultație detaliată și descoperiți cum putem transforma zâmbetul dumneavoastră!






















