Caz complex de rablitare totală realizat la Royal Smile Clinic Oradea
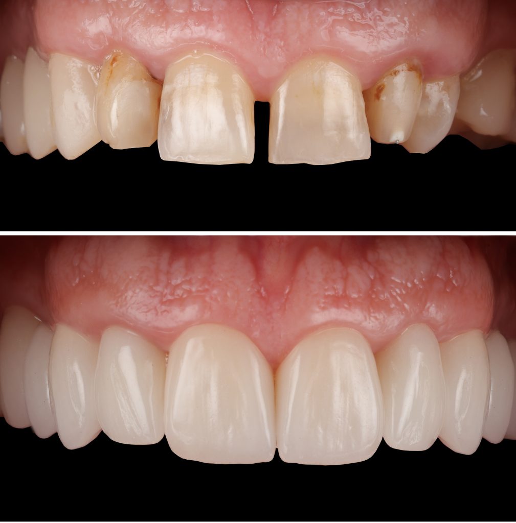
In cazul de față avem un caz cu o dentiție sever afectată — dinți fracturați, cariați și zone edentate — pacientul a ajuns în căutarea unei soluții stabile și estetice pe termen lung. După o evaluare completă, realizată cu radiografii digitale, scanări intra-orale 3D și analiză facială, echipa condusă de dr. Mai Klaus a creat un plan de tratament personalizat, adaptat nevoilor funcționale și estetice ale pacientului.
Procesul a început cu o simulare digitală a viitorului zâmbet, folosind tehnologia Smilecloud, wax-up digital și modelare 3D, astfel încât pacientul a putut vizualiza rezultatul final înainte de începerea intervențiilor. Ulterior, au fost inserate implanturi dentare din titan în zonele cu dinți lipsă, cu o atenție deosebită acordată stabilității inițiale și conturării corecte a țesuturilor moi pentru un aspect natural.
După perioada de osteointegrare, au fost realizate și montate coroane din zirconiu stratificat, recunoscut pentru durabilitate, biocompatibilitate și estetică superioară. Acestea au fost concepute pe baza amprentelor digitale și ajustate într-o serie de probe pentru a asigura o integrare perfectă în zâmbetul pacientului. Pe toată durata tratamentului, acesta a beneficiat de lucrări provizorii, menite să ofere confort și funcționalitate.
Rezultatul final este un zâmbet complet reabilitat: natural, armonios și perfect funcțional. Cazul demonstrează modul în care tehnologia digitală, planificarea riguroasă și expertiza clinicii Royal Smile pot transforma situațiile complexe în rezultate spectaculoase.
.

.
.

.
