Rezolvarea cazurilor de carii frontale cu fațete dentare din compozit realizate in cabinet – Royal Smile Clinic Oradea
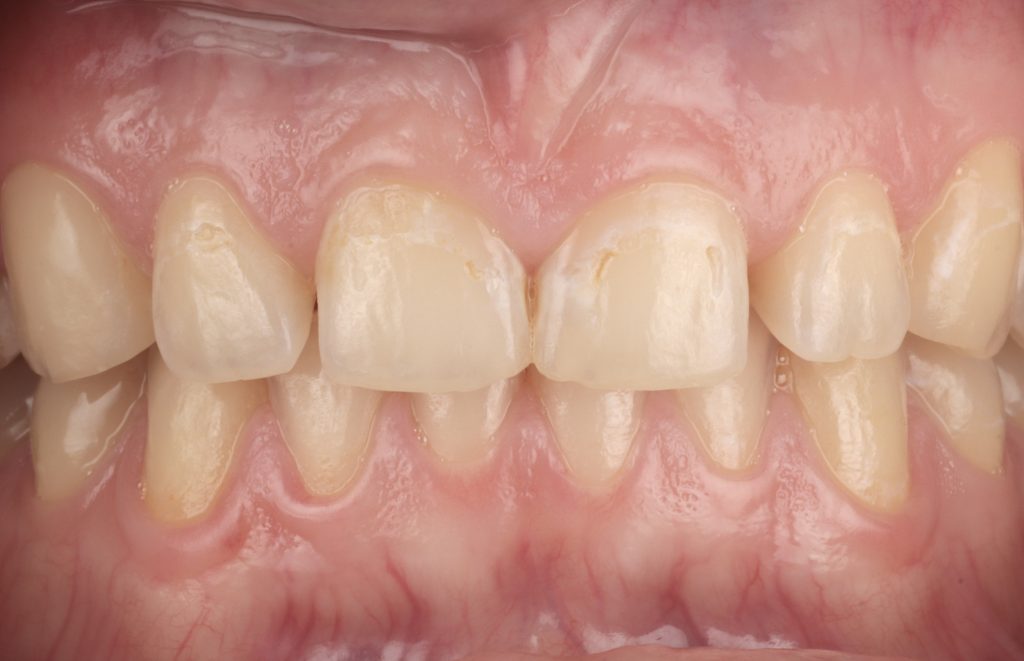
În cadrul Royal Smile Clinic Oradea, fiecare pacient beneficiază de tratamente personalizate și de cea mai înaltă calitate, adaptate nevoilor și dorințelor individuale. Recent, o pacientă s-a prezentat în clinica noastră cu multiple carii la nivelul grupului frontal superior, având ca obiectiv restaurarea esteticii zâmbetului său într-un mod cât mai conservator.
După o evaluare clinică detaliată realizată de către Dr. Mai Klaus, medic stomatolog în Oradea cu vastă experiență în estetică dentară, am ales o abordare minim invazivă: aplicarea de fațete dentare din compozit. Această metodă permite obținerea unor rezultate estetice remarcabile, cu o intervenție minimă asupra structurii naturale a dinților.
Tratamentul a fost realizat în două ședințe:
- În prima ședință, am efectuat amprentarea arcadei superioare și am realizat un wax-up diagnostic, esențial pentru a anticipa forma finală a lucrării și pentru a oferi pacientei o previzualizare a rezultatului final.
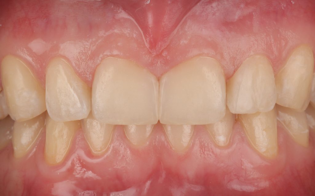
- În a doua ședință, am curățat cu atenție cavitățile carioase, folosind wax-up-ul ca ghid de tratament, și am construit fațetele dentare din compozit direct pe dinții afectați, obținând astfel un zâmbet natural, armonios și funcțional.
Prin utilizarea tehnicilor moderne și a materialelor de ultimă generație, echipa Royal Smile Clinic Oradea reușește să transforme fiecare tratament într-o experiență confortabilă și predictibilă pentru pacienți. Rezultatul final a fost unul deosebit, pacienta fiind extrem de mulțumită de aspectul și funcționalitatea noilor săi dinți frontali.
Dacă îți dorești un zâmbet impecabil și durabil, echipa noastră de medici stomatologi din Oradea este pregătită să îți ofere cele mai bune soluții. Specializați în realizarea de fațete dentare în Oradea, la Royal Smile Clinic combinăm profesionalismul, tehnologia modernă și atenția la detalii pentru a reda frumusețea și sănătatea zâmbetului tău.
Programează-te acum și descoperă standardul de excelență în stomatologie!
.

.

.