fbpx

Coroană dentară Zirconiu

Estetică și naturalețe la Royal Smile Clinic Oradea

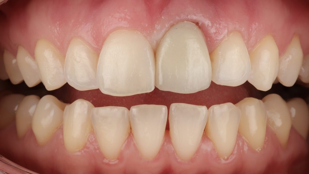
Pacienta s-a prezentat la Royal Smile Clinic Oradea, nemulțumită de aspectul și culoarea unei coroane dentare realizate anterior la o altă clinică. Problemele vizibile afectau în special incisivul frontal, ceea ce influența negativ zâmbetul și încrederea pacientei.

După o evaluare atentă, echipa noastră a decis refacerea lucrării cu o coroană dentară din zirconiu stratificat, alegere ideală pentru un rezultat natural, durabil și perfect integrat cu restul dinților.

Rezultatul final a fost spectaculos, mult peste așteptările pacientei, datorită atenției pentru detalii și a abordării personalizate. La Royal Smile Clinic, punem întotdeauna accent pe estetică dentară, funcționalitate și confort, iar fiecare caz este tratat cu maximă grijă și profesionalism.

✅ Caz realizat de Dr. Mai Klaus – specialist în estetică dentară.
📍 Royal Smile Clinic – clinica dentară Oradea unde zâmbetul tău prinde viață!

Aspect intial
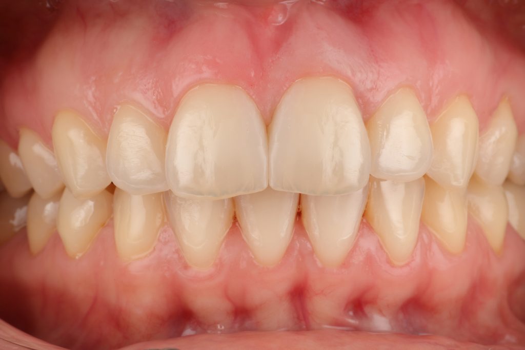
Aspect final – coroană dentară zirconiu stratificat

Coroane dentare din zirconiu – combinația perfectă între estetică și rezistență

Coroanele dentare din zirconiu reprezintă una dintre cele mai moderne și eficiente soluții protetice disponibile astăzi în stomatologie. La Royal Smile Clinic, clinica dentară din Oradea, recomandăm cu încredere această opțiune pacienților care își doresc o lucrare durabilă, biocompatibilă și cu un aspect natural impecabil.

Ce este coroana dentară din zirconiu?

Zirconiul este un material ceramic de ultimă generație, folosit în realizarea lucrărilor dentare datorită proprietăților sale excepționale. Este extrem de rezistent, nu provoacă reacții alergice și are o transparență care îl face să semene foarte mult cu dintele natural.

Coroanele dentare realizate din zirconiu pot fi fie monolitice (dintr-un singur bloc de zirconiu, pentru o rezistență crescută), fie stratificate cu ceramică, pentru o estetică superioară – mai ales în zona frontală, unde aspectul vizual este esențial.

Avantajele coroanei dentare din zirconiu

Estetică deosebită – translucența naturală face ca zirconiu să se integreze perfect cu restul danturii.
Durabilitate – este una dintre cele mai rezistente soluții disponibile, ideală pentru orice zonă a arcadelor dentare.
Biocompatibilitate – nu irită gingia și nu provoacă alergii.
Adaptare precisă – lucrările sunt realizate cu ajutorul tehnologiei CAD/CAM, pentru o potrivire perfectă.
Fără metal – nu apare niciun efect de „margine întunecată” la baza gingiei, cum se întâmplă la unele coroane metalo-ceramice.

Când este recomandată o coroană din zirconiu?

Coroana dentară din zirconiu este recomandată în următoarele situații:

  • Dinte fracturat sau slăbit, care nu poate fi restaurat printr-o simplă plombă;
  • Dinte devitalizat (scos nervul), care are nevoie de protecție suplimentară;
  • Îmbunătățirea esteticii unui dinte afectat de pete, colorații sau forme inestetice;
  • Refacerea unui dinte lipsă, pe un implant dentar.

Tratament personalizat la Royal Smile Clinic Oradea

Fiecare caz este unic, iar la Royal Smile Clinic, medicii noștri analizează cu atenție nevoile și așteptările pacientului. În cazul lucrărilor din zirconiu, colaborăm cu laboratoare dentare moderne și folosim tehnologii de ultimă generație pentru a garanta un rezultat pe măsură.

Dr. Mai Klaus, specialist în estetică dentară, coordonează tratamentele protetice pentru ca fiecare coroană să ofere atât funcționalitate, cât și un zâmbet natural și armonios.